Beynin Ödül Merkezi: Öğrenme, Motivasyon ve Zevk Merkezi


Yazan ve doğrulayan psikolog Sergio De Dios González
Bir hedefe ulaşmak için motivasyon bulmak. Başarısız olmaya rağmen, daha fazla çaba sarf etmeye değer olduğuna inanmak. Bir öpücüğün yoğun keyfi. En sevdiğiniz yemeğin tadını çıkarmanın keyfi. Günlük yaşamınızda çok belirleyici ve önemli olan bu şeylerin tümü beynin ödül merkezi tarafından yönetilir. Gelişmiş beyninizin bu alanı, olağanüstü olduğu kadar ilginçtir de.
Çoğu insan, tanıdığı biri kaza geçirene kadar beynin belirli bölgelerinin varlığını bilmez. Bununla birlikte, beyninizin normal koşullar altında nasıl çalıştığı hakkında biraz daha fazla bilgi edinmek çok önemlidir. Beynin her bölgesinin işlevini anlamak, kendi davranışınızı, motivasyonunuzu ve dürtülerinizi anlamanıza izin verecektir.
Beynin her yarım küresinde bir ödül merkezi bulunmaktadır; bunlar, karmaşık ödül sisteminizi şekillendiriyorlar. Beynin bu alanı sayesinde zevk alır, yeni bilgiler oluşturur ve günlük hayatınız için gereken motivasyonu bulursunuz.
Beynin ödül merkezi, zevk ve ödüllendirme sisteminin temeli olan o büyüleyici beyin yapısıdır. O olmadan, sizi insan yapan o gücü, serbestliği ve durdurulamaz enerjiyi kaybedersiniz. Tüm insanlar kişisel hedeflerini, duygusal hedeflerini, cinsel ihtiyaçlarını, bilgi arzusunu veya diğer motivasyonlarını yerine getirmeye çalışırlar.

Beynin ödül merkezi nedir?
Beynin ödül merkezi, az kişinin bildiği bir beyin bölgesidir. Sinirbilim alanının bile hala bu bölge hakkında birçok sorusu vardır. Temel işlevinin motivasyon sistemini harekete geçirmek olduğunu biliyoruz. Sadece bu sistemi aktif hale getirmenin ötesinde, davranışı da yönlendirir. Sıklıkla hissettiğiniz bu iradeyi, iyimserlik telaşını ve zafer açlığını davranışsal tepkilere dönüştürür.
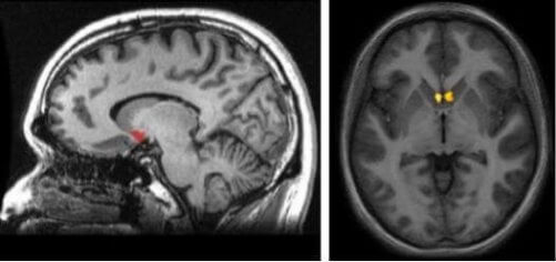
Şimdi bu beyin yapısının nerede olduğunu kendinize soruyor olabilirsiniz. Kavramsallaştırmak için, kaudat çekirdek, putamen ve septum arasındaki bağlantı noktasında korteks altı alanı gözünüzün önüne getirin. Beynin ödül merkezinin en önemli yönlerinden biri yeridir, çünkü beynin dopamin ile harekete geçen yolunun bir parçasıdır. Bu mezolimbik yoldur. Beyniniz, zevkli ve tatmin edici deneyimler geçirdiğinize inandığında, sizi uyarmaktan sorumludur.
Daha önce belirttiğimiz gibi, bu yapının nörologları şaşırtan birkaç sırrı vardır. Yakın zamana kadar bile, uzmanlar beynin ödül merkezinin yalnızca tatmin edici deneyimlerle bağlantılı olduğuna inanıyordu. Ancak, bugün bunun tatsız durumlarla da bağlantılı olduğunu biliyoruz. Sevmediğiniz bir şeyle karşılaştığınızda, çekirdek bu durumdan kaçma motivasyonunu “aktive eder”.
Bu nedenle, sizi hayatta kalmaya itme yolunda önemli bir rol oynar, çünkü sizi yararlı şeyler doğru ve zarar verebilecek şeylerden uzakta tutmaya yönlendirir.

Beynin ödül merkezinin nörobiyolojisi
Beyin yarı kürelerinin her birinin kendine ait çekirdekleri vardır. Bu şekilde dopamin ile idare edilen ödül sistemi beynin her iki tarafına da ulaşır. Bu yapı aynı zamanda bazal gangliyanın da bir parçasıdır. Bu nedenle, beynin ödül merkezinin en önemli özelliklerinden biri, beynin diğer bölümlerine ne ölçüde bağlı olduğudur.
Aslında, en önemli bağlantısı limbik sistemle olan bağlantıdır. Bu sistemin pek çok farklı yapıdan oluştuğunu unutmayın: talamus, hipotalamus ve amigdala. İkincisi, duygusal dünyanızın düzenlenmesinden sorumludur.
Şimdi beynin ödül merkezinin gerçekte anatomik yapısı sayesinde bu önemli bağları nasıl kurduğunu konuşalım.
1. Kabuk
Bu, hiç şüphesiz ki ödül merkezinin en ilgi çekici yanıdır. Kabuktan, ön lobun yanı sıra limbik sistemle de bağlantı kurar. Bu kısım aslında bir köprü görevi görür. Bilgi alır ve gönderir. Aynı zamanda, dopamin, serotonin, glutamat, vb. alır ve seviyelerini düzenler.

2. Çekirdek
Bu ödül merkezinin kalbidir. Beynin bu bölgesinin yaptığı şey, bazal gangliya, siyah madde ve motor korteks ile olan bağlantısı ile motor işlevini yönetmektir.
Bu alandaki ilginç şey, duygusal olarak anlamlı eylemlerin ve hareketlerin çoğunu harekete geçirmesidir. Yani ödül merkezi, koltuktan kalkmak ve bir şeyler yapmak için motive olduğunuz her anın arkasındaki güçtür.
Ödül merkezinin işlevleri nelerdir?
Ödül merkezi, motivasyonu, keyfi ve zafer hissini kontrol eder ve olayları harekete geçirir. Bununla birlikte, birçok başka işlevi de vardır:
- Bize planlama konusunda yardımcı olur. Beyin korteksi ile olan bağlantısından dolayı, hedefler ve yol haritaları oluşturmamızı sağlıyor.
- Bu yapı, durumları değerlendirmemize yardımcı olur. Ödül merkezi de duygusal hafıza ile bağlantılıdır. Bu nedenle, bazı değişiklikler yapmak için belirli durumları analiz etmenize, çabalarınızı bir hedefe doğru belirlemenize ya da belirli zorlukları veya hedefleri geciktirmenin en iyi yol olduğuna karar vermenize yardımcı olur.
- Yeni bilgileri öğrenmenize ve entegre etmenize yardımcı olur. Motivasyon ve öğrenme çok yakın ilişki içerisindedir. Aslında basit bir anlama eylemi, bilgiyi beyninize entegre etmek ve bir şeyleri ezberlemek, ödül merkezinin parçası olduğu duygusal bileşen olmadan hiçbir anlam ifade etmez.
- Seks ve beslenme. Bu yapı zevkle ilgili tek yapı değildir. Bununla birlikte, motivasyonda ve nörokimyasal ödül sisteminde (zaten bildiğimiz gibi) kilit bir rol oynar. Bu, dopaminerjik bir yolda yer almasından kaynaklanmaktadır. Dopaminin zevk, mutluluk ve bağımlılıkla ilgili bir sinir taşıyıcı olduğunu unutmayın.
Sonuç olarak, beyin bizi şaşırtmaktan asla vazgeçmiyor. Bu organ, her küçük alanın önemli bir işleve sahip olduğu mükemmel bir makinenin parçasıdır. Bununla birlikte, beynin hiçbir parçası kendi kendine çalışmaz. Tüm beyin parçaları birbirine bağlıdır ve büyüleyici bir uyum içinde birlikte çalışmak için birbirlerine dayanmaktadır. Beynin ödül merkezi bu büyüleyici makinenin muhteşem bir parçasıdır.
Bu metin yalnızca bilgilendirme amaçlı sunulmuştur ve bir profesyonelle görüşmeyi yerine geçmez. Şüpheleriniz varsa, uzmanınıza danışın.







